[View 40+] Antenne Irm Cerebral
View Images Library Photos and Pictures. IRM cérébrale – Je passe une IRM IRM cérébrale – Je passe une IRM Réalisation d'un fantôme de flux pour le contrôle qualité en IRM Philips - Antenne Tête dStream 32 canaux Antenne IRM
. Imagerie par résonance magnétique - Wikiwand IRM cérébrale – Je passe une IRM IRM | Clinique de l'Union - Clinique le Marquisat
Antenne IRM cou - dStream - Philips Healthcare - rachis / tête
Antenne IRM cou - dStream - Philips Healthcare - rachis / tête
Antenne IRM tête - Tous les fabricants de matériel médical
Magnetic Resonance Imaging - Overview MAGNETOM® MRI Scanner - Siemens Santé limitée
Examen IRM par ondes de radiofréquence ❘ Principauté de Monaco
Antenne radio-fréquence placée sur la tête du sujet servant d'émetteur... | Download Scientific Diagram
Narbonne. L'IRM nouvelle génération - ladepeche.fr
Imagerie par résonance magnétique - Wikiwand
Philips - Antenne Tête dStream 32 canaux Antenne IRM
IRM : est-ce dangereux pour la santé ? : Femme Actuelle Le MAG
Qu'est-ce qu'une IRM à champ ouvert ?
IRM : comment se déroule l'examen et quels sont les risques ? - Top Santé
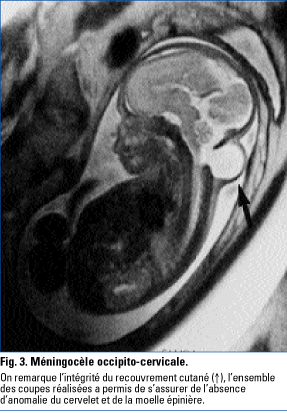
L'imagerie par résonance magnétique foeœtale - Revue Médicale Suisse
IRM à Lyon : imVOC service d'imagerie par résonance magnétique
Imagerie par résonance magnétique — Wikipédia
Institut des sciences du vivant Frédéric Joliot - La plateforme d'imagerie clinique
Nouvelles techniques IRM du parenchyme cérébral - Medix cours de médecine en ligne - Encyclopédie Médicale
Antenne IRM cou - dStream - Philips Healthcare - rachis / tête
Antenne IRM tête - Tous les fabricants de matériel médical
Imagerie médicale - Clinique Saint-Luc Bouge
IRM cérébrale : 5 choses à savoir | Santé Magazine
IRM | Clinique de l'Union - Clinique le Marquisat
IRM | Société d'Imagerie Médicale Bois-Bernard
IRM cérébrale pédiatrique sous anesthésie | American Hospital of Paris
Progrès récents de l'imagerie par résonance magnétique (IRM) chez le nouveau-né - ScienceDirect
IRM Imagerie Médicale Marcadet Paris 18
IRM : ce qu'il faut savoir sur l'Imagerie à Résonance Magnétique



Comments
Post a Comment